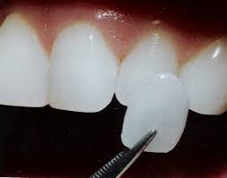
Carillas esteticas
Finas y delicadas laminas de porcelana muy delgadas las cuales se colocan de una manera precisa la cual puede ser cubriendo toda la superficie anterior de los dientes anteriores o bien parcialmente alguna superficie. las carillas se unen a la superficie dental mediante un adhesivo el cual da como resultado una union quimica tan fuerte que es casi imposible romper.
Pueden ser de cerámica, zirconio, resina o composite.

